Téléchargez le décret et le calendrier électoral révisés, publiés au journal officiel





iciHaïti - Massacre à Jean Denis : Bilan partiel du CARDH, au moins 60 victimes (rapport)

iciHaïti - Justice : Non-respect des prix des carburants, des stations service sous scellés

iciHaïti - Tourisme : La Ministre en faveur du tourisme solidaire

iciHaïti - Pré-test 9e AF pour renforcer la qualité des textes d’examens

iciHaïti - Qualif. CONCACAF W Brésil 2027 : Phase 2 Mexique vs Haïti


+ de nouvelles


URGENT : Vigilance Jaune - Risques d'intempéries en Haïti

Zapping Haïti du 24 avril 2026

Haïti mobilise ses partenaires internationaux

ONU : Haïti entre espoir politique et urgence sécuritaire (discours vidéo)

Haïti - Renforcement de la sécurité externe de l'École Nationale de Police


+ de nouvelles



Haïti - Santé : Le pays à le plus haut taux de tuberculose des Amériques
03/04/2017 10:02:56

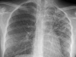
Haïti - Santé : Le pays à le plus haut taux de tuberculose des Amériques

Malgré les nombreux efforts du Gouvernement haïtien pour faire reculer la tuberculose dont entre autres la gratuité de la prise en charge des patients dans 256 centres spécialisés financés par le Trésor Public. En 2012, il y avait 212 cas pour 100,000 habitants (Source PNUD), en 2016 on en comptait 194 sur 100,000, Haïti reste le pays qui présente l’incidence la plus élevée des Amériques (près de 17,000 cas dépistés en 2013 chez des patients âgés de 15 à 34 ans)...

Selon Marie Gréta Roy Clément, la nouvelle Ministre de la Santé Publique, les résultats obtenus dans cette lutte sont assez encourageants car les chiffres ne cessent de baisser en Haïti et est convaincu, que l’engagement mondial d’éliminer la tuberculose d’ici à 2050 est réalisable, tout en se disant consciente du défi en Haïti de faire baisser le pourcentage de décès trop élevé, qui est aujourd’hui de 5%.

Willy Morose, le Directeur du Programme National de Lutte contre la tuberculose (PNLT) se montre moins optimiste malgré les efforts constants et de la détermination des acteurs impliqués. Il estime que l’élimination de la tuberculose en Haïti restera un objectif difficile à atteindre en raison des mauvaises conditions de vie de la population et l'accès difficile à des soins de qualité.

En savoir plus sur la tuberculose :

La tuberculose est une maladie très contagieuse causé par une bactérie « Mycobacterium tuberculosis » qui touche le plus souvent les voies respiratoires. C’est une maladie que l’on peut éviter et soigner. La tuberculose se transmet d’une personne à l’autre par voie aérienne. Quand une personne atteinte de tuberculose tousse, éternue ou crache, elle projette des bacilles tuberculeux dans l’air, il suffit d’en inhaler quelques-uns pour être à son tour infecté.

TB/ HaïtiLibre



Twitter Facebook Rss
Envoyer l'article à... Nouvelles du Jour...
Read in English


Réagissez à cet article
Pseudo :
Email :

Votre adresse email ne sera pas divulguée - Commentaire refusé si votre adresse email est fausse


0 caractères saisis. | 1500 caractères restants.
Avant de réagir lisez notre charte de modération


 




Pourquoi HaïtiLibre ? | Contactez-nous | Charte de modération | Privacy policy | English
Copyright © 2010 - 2026
Haitilibre.com -n